Produtos utilizados: Hereaus Kulzer
Diagnóstico:
Paciente Sr. G. M. , sexo masculino, 28 anos de idade . Oclusão CL II de Angle com Overjet de 6mm e apresentando atresia das arcadas superior e inferior.
Esmalte rígido com poucas restaurações CLI de compósitos nos dentes posteriores.
Plano de tratamento:
Plano A: Proposto Cirurgia Ortognática para expansão das arcadas com avanço mandibular.
Plano B: Proposto utilização de Ortodontia auto ligável com aparelho removível expansor tipo Planas e avanço madibular com overlays semi-diretas de compósitos nano–híbridos nos dentes posteriores (apenas na arcada inferior) e resinagem direta nos dentes anteriores. Durante a Ortodontia , observamos que a ATM junto aos músculos , ligamentos e propriocepção da região , permitia o avanço mandibular de forma confortável (cêntrica longa) .
Execução do tratamento:
Após o paciente aceitar o plano B e ciente de suas possíveis limitações, foi realizado o seguinte tratamento:
Foram realizadas moldagem de ambas as arcadas com silicone de adição (Variotime – Heraeus Kulzer, Alemanha), registro de mordida, montagem em articulador e enceramento dos dentes posteriores com vertente rasas (25º) e guia canino de 45º . Construíram-se muralhas guia de silicone transparente (Elite – Zermack), prensagem das overlays com a resina nano–híbrida Charisma Diamond (Heraeus Kulzer, Alemanha). Um vez finalizadas as restaurações, procedeu-se à cimentação das overlays, ajuste oclusal e resinagem dos dentes anteriores com o mesmo compósito, Charisma Diamond, devido alta resistência mecânica, elevado módulo de elasticidade e excelentes propriedades ópticas de translucidez, opalescência e fluorescência que o material possui.
1 – Oclusão tipo classe II de angle com overjet acentuado de 6mm.
Maxila em posição centralizada em relação a base do crânio, mandibula retruida.
(vista lateral lado direito).
2- Oclusão classe ii de angle.
Ausência de guia anterior e guia lateral exercida em demasia pelos 1° pré-molares.
(vista lateral esquerda.)
3- Maxila e mandibula atresiadas. (Overjet anterior de 5mm).
Utilização por 18 meses de aparelho fixo auto ligável Sistema passível.
Stop na região anterior e estímulos para expansão das arcadas através de dobras offsets com fios 0.14” cuniti.
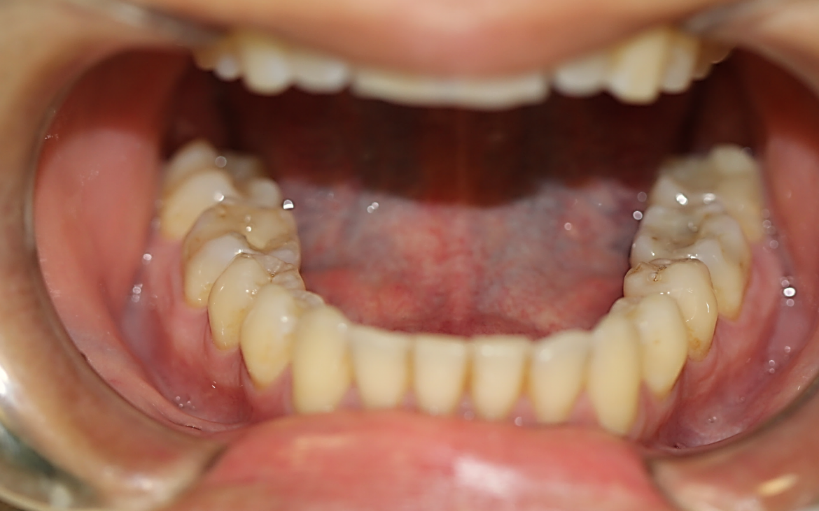
4- Vista oclusal dos dentes inferiores (Cor A3)
Restaurações inlays de compósitos nos dentes 36, 37 e 46.clinicamente satisfatórias.
demais elementos com esmalte hígidos
5- Ceroplastia na nova posição de máxima interiorização, recuperando 3mm da DVO com avanço mandibular de 6mm(Cêntrica longa).
Modelos montados em articulador. Registro oclusal com jig de Luís Fellipe (orientar o melhor posicionamento mandibular).
6- Ceroplastia realizada nos terço incisais dos anteriores e oclusal dos posteriores inferiores.
7. Dentes posteriores – vertentes internas rasas, formato oclusal lobular cheio valorizando sulcos principais e sulcos de escape.
8 – Adaptação das tiras inter proximais de aço cortando a cera ate o ponto de contato dentário no modelo de gesso.
9- Muralha ou guia de silicone transparente.
10- Para atingir resistência ideal de prensagem confeccionar a muralha com 20mm de altura e os bordos com 4mm de espessura.
11- Vista interna da guia de silicone – espessura de 4mm nos bordos.
12 – Alívio de pequenas retenções nas caixas oclusais com a cera utilizada no enceramento.
13- Isolamento do modelo de gesso com máscara para artesanato.
14- Adaptação da primeira camada nas pontas das cúspides – Charisma Diamond CL (clear)
15 – Segunda camada-esmalte Charisma Diamond A2 (1,0mm a 1,5mm de espessura)
16 – Terceira camada Charisma Diamond OL (1,0mm a 1,5 mm de espessura).
17- Encaixe da guia no modelo de trabalho.
18 – Overlays retiradas da guia de silicone – separação imediata das peças.
19- Acabamento das Overlays indiretas – encaixe perfeito no modelo de gesso.
20 – Análise oclusal lado direito:
• Contatos das cúspides de trabalho (VIPS)
• Eixo de força e resistência determinado pela nova oclusão balanceada (Bilateral)
21 – Vista oclusal das overlays polidas no modelo de gesso:
22- Reabilitação oclusal finalizada (cor A2) – dentes inferiores.
Placa de acetato de 1,5 mm para corrigir posição dos dentes 21 e 22.
23- Vista oclusal do alinhamento e nivelamento das overlays unitárias cimentadas.
Terços incisal e médio cor A2. Terço cervical A3.
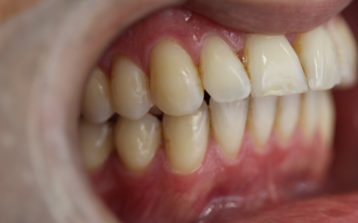
24- Vista lateral direita – caninos e molares corrigidos na relação oclusal classe I de angle.
Overjet ou discrepância antero posterior, guia de lateralidade e guia anterior reestabelecidos.
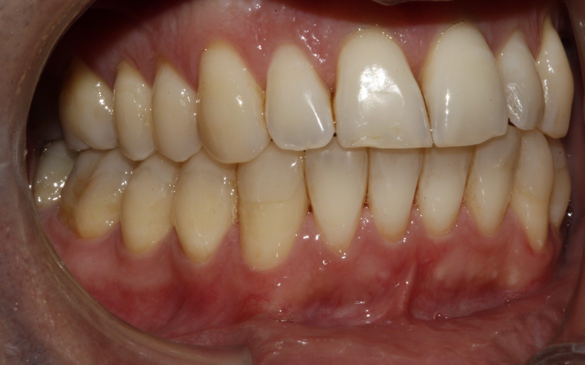
25- Vista lateral esquerda: Caninos e molares na relação oclusal classe I de Angle. Guia de lateralidade e guia anterior reestabelecidos.
26 – Guia Canino de lateralidade direita. Desoclusão no lado de balanceio.
27 – Guia canino lateralidade esquerda.
Desoclusão no lado de balanceio.
28- Guia anterior suave – ainda não realizadas as lâminas nas palatinas dos dentes superiores anteriores.



























achei muito interessante o assunto e como foi apresentado. gostaria de receber mais amostras de trabalhos. obrigado