Neste caso, a paciente gostaria de melhorar a estética do seu sorriso, prejudicada pela agenesia de ambos os incisivos laterais superiores.
Devido à baixa disponibilidade óssea, observada na tomografia computadorizada, optou-se pela instalação de implantes estreitos (Xive – Dentsply Implants – 3.0 mm de diâmetro) com regeneração simultânea (Biooss e Biogide – Geistlich), ao invés de realizar enxerto ósseo prévio.
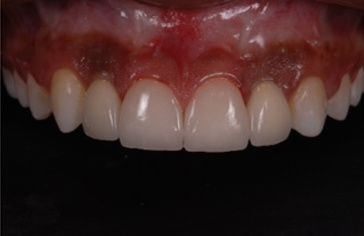
Após osseointegração, foi realizado condicionamento gengival com provisórios e novo enceramento diagnóstico. O caso foi finalizado com coroas livres de metal sobre os implantes e microlaminados cerâmicos sobre os incisivos centrais (e.max – dissilicato de lítio – Ivoclar Vivadent), visando o mínimo desgaste de estrutura dental sadia.
Na tomografia foi verificado pouca disponibilidade óssea em espessura (2,9mm) e também espaço reduzido mesio-distal.
Decidimos instalar 02 implantes Xive 3,0 referente aos dentes 12 e 22.
Cirurgia de instalação de implantes
Implante instalado mostrando fenestração vestibular que foi corrigida com enxerto ósseo e membrana. (Bio oss e Bio guide – seguindo protocolo de Buser)
Membrana bioguide
Enceramento diagnóstico
Mock up
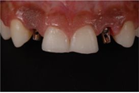
Instalação dos pilares
Resultado final
Autor:
Prof. Dr. Márcio Buffoni D´Avila e Silva
Prof. Dr. José Pedro Issy Júnior
Prof. Dr. Thiago do Oliveira Tomaselli
Prof. Dr. Ricardo Moreno Bonilha Neto
Fonte: Denstply
Clique aqui ou ligue 0800 6021717 e compre produtos Denstply na Surya Dental.















