Dentes com pouco remanescente coronal podem ser reabilitados através do uso de pinos intrarradiculares e restaurações indiretas, desde que sejam observados alguns fatores. O comprimento da raiz, a anatomia radicular, o aspecto da dentina remanescente (altura, espessura e qualidade do tecido), as forças oclusais que incidem no sistema, a necessidade estética, entre outros, são aspectos a serem considerados antes de uma reabilitação nesta modalidade.
Quando corretamente indicados e planejados, pinos diretos consistem em uma opção de excelente custo benefício e relativa facilidade de execução (se comparados aos pinos metálicos fundidos). Adicionalmente, novos materiais dentários surgem para simplificar e agilizar ainda mais o trabalho do profissional, como é o caso dos cimentos resinosos multitarefas que possuem resistência mecânica suficiente para, além de cimentar o pino, criar o munhão
Relato do Caso
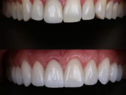
Paciente apresentando dentes 11 e 21 necessitando de reabilitação protética extensa. Os remanescentes coronários apresentaram área de férula e espelhamento adequadas para uma reabilitação com pinos intrarradiculares diretos. A elevada necessidade estética do caso levou ao planejamento com núcleos estéticos e coroas totais cerâmicas. O trabalho todo foi realizado com apenas um cimento resinoso dual, o Allcem Core (FGM), indicado para o trabalho de cimentação do
pino, confecção do núcleo e cimentação da coroa.
Figs. 1 a 4 – Aspecto inicial dos dentes, quantidade do remanescente dental e preparo dos condutos com broca White Post DC2 (FGM), criando espaço cônico para adaptação dos pinos
Figs. 5 a 6 – Condicionamento ácido (Condac 37, FGM) por 15 segundos e aplicação de adesivo (Ambar, FGM).
Figs. 7 a 10 – Através da ponteira especial para aplicação intracanal, o cimento Allcem Core (FGM) é inserido dentro do conduto. O pino de fibra (White Post DC2, FGM) é então posicionado e o cimento que extravasa pode ser aproveitado para construção do munhão, bem como novas camadas de cimento que são acrescentadas ao redor do pino. A fotopolimerização do sistema assegura uma pré-forma do munhão.
Figs. 11 a 12 – Munhões em sua forma primária e após usinados.
Figs. 13 a 14 – Coroas cerâmicas cimentadas nos dentes através do mesmo cimento resinoso dual, revelando a praticidade do material.
Autores / Sobre o autor:
Prof. MSc Sanzio Marques
Especialista em Prótese Dental e Implantes, Mestre em Dentística Restauradora, Autor do livro “Estética com resinas compostas em dentes anteriores: percepção, arte e naturalidade”, Coordenador do Curso de Excelência em Odontologia Estética do IEO-Belo Horizonte, Coordenador do Curso Dominando a Arte com Resinas Compostas do IEO-Belo Horizonte, Coordenador do Curso de Imersão em Laminados Cerâmicos do IEO-Belo Horizonte, Coordenador do Curso de Excelência em Reabilitação Oral do Instituto Implante-Perio – São Paulo.
TPD Roberto Devólio
Técnico em Prótese Dental (Curitiba-PR).
Fonte: 37ª Edição – Revista Surya News





Bom Dia,
Meu filho perdeu os 4 dentes da frente carie, ele esta fazendo um tratamento para implante, mas ele só tem 3 anos. Esse implante de fibra de vidro vai atrapalhar os dentes permanentes ou causar algum dano a ele. ou prejudica-lo:?
Olá Rosangela.
O cirurgião dentista que está acompanhado o caso é o mais indicado para solucionar todas estas suas dúvidas.
Explique para ele(a) todas suas questões e inseguranças e ele(a) irá te explicar certinho.
Olá, Carolane! Procure um dentista. Só ele poderá avaliar o seu caso. Boa sorte e obrigada pelo contato!
Quanto custa no caso tenho que fazer 2 um de cada lado
Oi Elisabete, muito obrigado pelo contato.
Nós somos a loja especializada em produtos odontológicos, não fazemos procedimentos. Sugiro que você procure um cirurgião-dentista para isso.