Produtos utilizados: MM Optics (MMO)
Dr. Fabio Luiz Soares, Especialista em Endodontia,
Mestre em Periodontia e Prof. de Endodontia e Periodontia
do Centro Universitário UNIRG | GURUPI – TOCANTINS
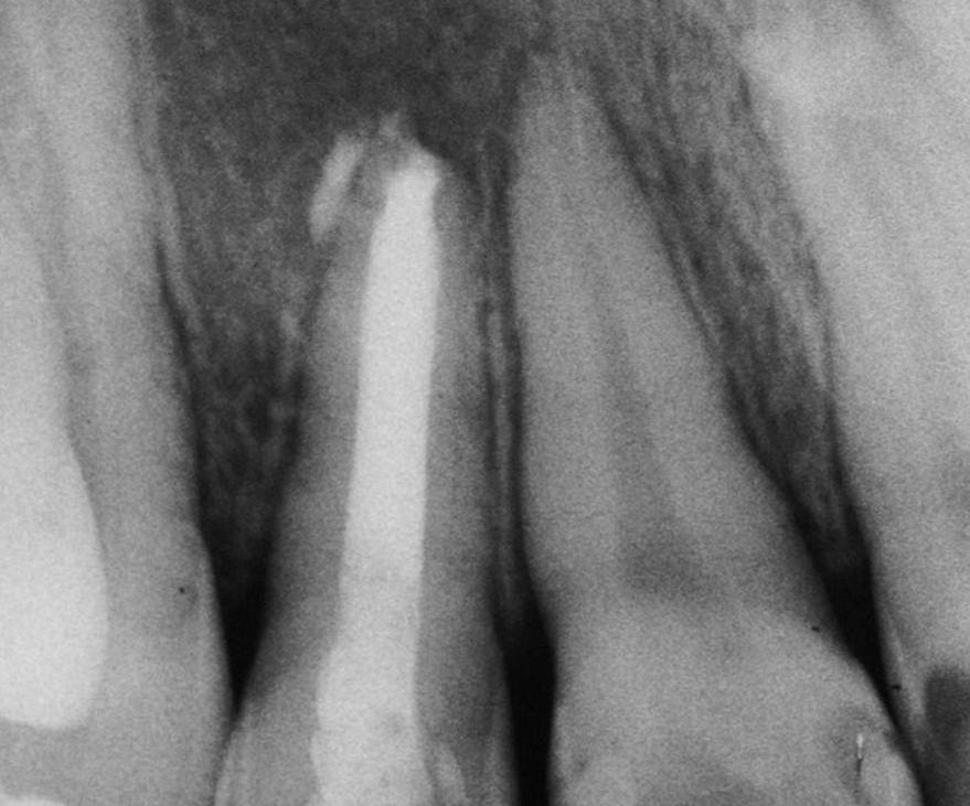
O paciente do gênero masculino, 15 anos, apresentou-se abaulamento na região anterior direita do palato, sem qualquer sintoma. O teste de sensibilidade pulpar realizado no dente 12 apresentou resposta negativa e o teste de percussão vertical, resposta positiva. Ao exame radiográfico observou-se lesão periapical se estendendo à distal do dente 12:

Estabelecido o diagnóstico clínico de cisto periapical iniciou-se o tratamento endodôntico. Foi realizado acesso coronário e preparo químico-mecânico com limas manuais utilizando como substância irrigadora o hipoclorito de sódio à 2,5%.

Após o termino do preparo foi realizada Irrigação Ultrasônica Passiva (PUI) alternando o uso de hipoclorito de sódio a 2,5% com EDTA 17% (Ácido Etilenodiaminotetracético). Em seguida foi instituída a Terapia Fotodinâmica (PDT) utilizando como fotossensibilizador o Azul de Metileno 0,005% (Fórmula & Ação) e após o tempo de pré-irradiação de 5 minutos o canal foi irradiado com Laser 660nm (vermelho) (Laser Duo®, MM Optics) a uma potência de 100mW acoplado a fibra óptica (MM Optics) durante 3 minutos. Posteriormente foi inserida medicação à base de hidróxido de cálcio (Ultracal XS®) e então o dente foi selado com Coltosol®.




Após 15 e 75 dias do início do tratamento:

O paciente retornou ao consultório sendo adotado o mesmo protocolo de tratamento. A obturação foi realizada após 150 dias do inicio do tratamento através da técnica do cone rolado de guta-percha utilizando cimento Endodôntico Sealapex:

Consultas de proservação foram realizadas após 5 e 24 meses:


Após o término do tratamento através do qual foi possível observar radiograficamente a regressão completa da lesão e o reparo ósseo periapical comprovando a efetividade do tratamento proposto.