A reabilitação da região posterior da maxila com implantes osseointegráveis ainda é considerada um desafio na prática clínica diária, principalmente nos casos onde se observa um alto grau de reabsorção óssea da área, levando à proximidade da crista óssea com os seios maxilares (Sul et al., 2008).
Nesse tipo de situação clínica, a cirurgia para elevação da membrana sinusal através da parede lateral do seio maxilar é uma técnica que tem se mostrado previsível para proporcionar um ganho ósseo em altura, possibilitando a correta instalação dos implantes na região (Gark, 1999; Van den Bergh et al., 2000; Flanagan, 2005).
No entanto, após conseguir o sucesso na osseointegração tanto do enxerto, bem como dos implantes, faz-se necessário seguir corretamente os passos protéticos para que se tenha sucesso do caso e a completa satisfação do paciente. Isso engloba desde uma correta moldagem com materiais apropriados até o término do ajuste oclusal (Hallman et al., 2005).
Os objetivos deste relato de caso são demonstrar a segurança dos procedimentos reconstrutivos e reabilitadores aplicados, bem como a importância de uma correta sequência protética para o sucesso do tratamento.
Relato de Caso
Paciente, 41 anos, compareceu ao consultório com queixas estéticas e funcionais relacionadas à região posterior da maxila do lado direito. Ao exame clínico pode-se observar ausência dos elementos 15 e 16 com reabsorção óssea da região tanto no sentido vestíbulo-lingual quanto ápico-coronal e migração apical da mucosa bucal da região.
Ao exame de tomografia computadorizada, foi observada intensa reabsorção óssea vertical na região de interesse com íntimo contato do remanescente ósseo com o assoalho do seio maxilar direito (figura 1 A e B).
Após a interpretação dos dados clínicos e de imagens, foi proposto para a paciente a realização de cirurgia reconstrutiva prévia à instalação dos implantes, por meio de elevação da membrana sinusal e interposição de enxerto bovino granulado.
A cirurgia reconstrutiva foi realizada de acordo com a técnica descrita por Boyne & James, 1980. Após o período de cicatrização do enxerto (6 meses), dois implantes de estágio único foram instalados na região com alta estabilidade primária (figuras 2 e 3). Após o tempo recomendado para a osseointegração dos implantes, procedeu-se a sequência protética.
Dois transferentes de moldeira aberta foram utilizados para realizar a moldagem de transferência. Um detalhe importante é a realização da união entre os transferentes (figura 4) para evitar qualquer movimentação durante a moldagem ou até no momento do vazamento do gesso. Isso faz com que se evitem alterações no posicionamento dos análogos.
Após a seleção correta da moldeira, o material de moldagem de escolha foi o silicone de adição Futura AD (Nova DFL) (figuras 5 e 6). Secundariamente, a prova da infraestrutura metálica foi realizada, observando-se a correta altura oclusal para a aplicação da porcelana e a perfeita adaptação da estrutura aos implantes.
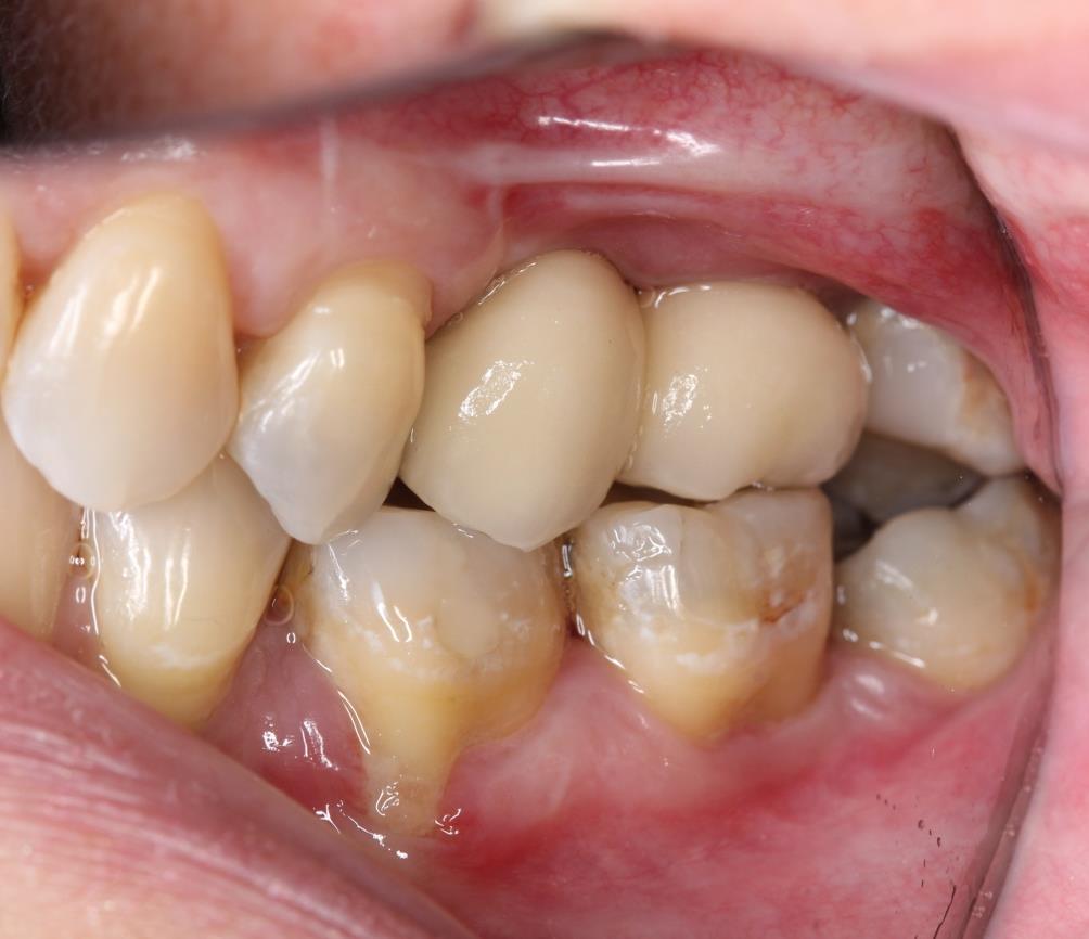
No momento da instalação, foi possível observar a passividade no encaixe da prótese aos implantes e a correta acomodação aos tecidos moles periimplantares (figuras 7 e 8). A seguir, foram realizados ajustes oclusais em posição cêntrica e excêntrica (figura 9). Uma radiografia periapical foi tomada após a finalização do caso, confirmando os achados clínicos observados (figura 10).
Conclusão
Dentro dos limites deste relato de caso, a cirurgia de elevação do assoalho do seio maxilar como procedimento prévio à instalação de implantes dentários demonstrou-se efetiva para possibilitar o correto posicionamento e ancoragem dos implantes. Além disso, uma correta moldagem de transferência, com materiais de alta tecnologia, fidelidade de impressão e estabilidade proporcionou uma perfeita e passiva adaptação das próteses sobre os implantes.










Referências Bibliográficas
Sul SH, Choi BH, Li J, Jeong SM, Xuan F. Effects of sinus membrane elevation on bone formation around implants placed in the maxillary sinus cavity: an experimental study. Oral Surg Oral Med Oral Pathol Oral Radiol Endod; 105(6):684-7,2008.
GARK, AK. Augmentation grafting of the maxillary sinus for placement of dental implants: Anatomy, physiology, and procedures. Implant Dent; 8:36–46, 1999.
VAN DEN BERGH; BRUGGENKATE, C.M.; DISH, F.J.M; TUINZING, D.B. Anatomical aspects of sinus floor elevations. Clin Oral Implants Research; 2:256-265, 2000.
FLANAGAN, D. Arterial supply of maxillary sinus and potential for bleeding complication during lateral approach sinus elevation. Implant Dent; 14:336-339, 2005.
Hallman M, Sennerby L, Zetterqvist L, Lundgren S. A 3-year prospective followup study of implant-supported fixed prostheses in patients subjected to maxillary sinus floor augmentation with a 80:20 mixture of deproteinized bovine bone and autogenous bone. Clinical, radiographic and resonance frequency analysis. Int J Oral Maxillofac Surg;34:273–280, 2005.
Boyne PJ, James RA: Grafting of the maxillary sinus floor with autogenous marrow and bone. J Oral Surg 38:613, 1980.
Autores
Dr. Luiz Carlos Magno Filho
Especialista em Estomatologia (Hospital Heliópolis) e Implantodontia (FOUNIP) Mestre em Periodontia (FOUNIP)
Coordenador do curso de Atualização em Implantodontia C.A. Implantes – Suzano – SP
Assistente do serviço de Cirurgia e Traumatologia Buco Maxilo Facial do Hospital Adventista de São Paulo
ITI member
AO member
lulamagno@ig.com.br
Dra. Mirian Harumi Itikawa
Graduação em Odontologia pela Universidade de São Paulo
Especialista em Implantodontia (FOUNIP)
dra.mirian.itikawa@hotmail.com

