A interação Periodontia e Dentística é imprescindível para obtenção de um sorriso harmônico, de modo mútuo permite proporcionar com sucesso a reabilitação funcional e estética, elevando a autoestima e bem-estar do paciente.
A intervenção plástica periodontal voltada aos tecidos de revestimento demonstrou-se adequada ao contorno da margem gengival, garantindo harmonia estética entre altura e largura das coroas clínicas dos dentes anteriores, enquanto os procedimentos restauradores possibilitaram de forma eficaz a reconstrução e a cosmética da área reabilitada.
Relato de caso clínico
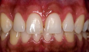
Paciente JSS, sexo Masculino, 25 anos, procurou atendimento odontológico após relatar excesso e escurecimento da gengiva e espaços entre os dentes (sic).
O tratamento consistiu em gengivoplastia de canino a canino aumentando a coroa clínica e melanoplastia (remoção de escurecimento gengival), que retirou o excesso de pigmentação, em seguida, foi aplicado sobre a área cimento cirúrgico, (Coe-Pak – GC Dental) o mesmo foi removido após 07 e 14 dias.
Depois de 3 meses a cicatrização foi concluída e iniciou-se o tratamento restaurador. Foi realizada moldagem superior e inferior com alginato (Jeltrate Plus – Sirona/Dentsply), e obteve-se o modelo de trabalho em gesso especial tipo IV (Durone – Sirona/Dentsply).
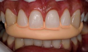
Encaminhado para o laboratório, foi elaborado o enceramento do modelo superior com cera para escultura. O modelo com enceramento de diagnóstico foi moldado com silicone de condensação pesado (Optosil® – Kulzer) para confecção da barreira palatina.
No planejamento, restaurações com resina composta direta foram propostas nos dentes (11, 12, 13, 21, 22, 23). Inicialmente foi feita uma profilaxia com água e pedra-pomes nos dentes a serem restaurados, a seguir isolamento relativo com roletes de algodão e afastamento de lábios e bochechas com afastador bucal (Maquira).
Previamente a execução dos procedimentos restauradores, foi empregada a grade de proporção áurea proposta por Mondelli, para orientação de pequenos ajustes no alinhamento de alguns dentes envolvidos no procedimento, para isso foram feitos alguns desgaste com ponta diamantada (3195 – KG Sorensen), a seguir todas as restaurações foram executadas com acréscimo de material restaurador, através da técnica de condicionamento ácido em esmalte (30’’) e aplicação de sistema adesivo (GLUMA® Bond Universal – Kulzer).
Iniciou-se a inserção da resina composta (Charisma® Diamond AM – Kulzer) simulando o esmalte dentário,devido a sua maior translucidez, com auxílio da barreira palatina confeccionada previamente, nos elementos 13 e 23, seguido da inserção da resina composta (Charisma® Diamond A3 – Kulzer), qual simulou a dentina, em seguida complementando a face vestibular com resina composta na cor AM, da mesma marca.
A seguir foram feitos os ajustes oclusais devolvendo a guia canino em ambos os lados (direito e esquerdo), para proporcionar um maior espaço para os dentes incisivos laterais e centrais durante os movimentos excursivos da mandíbula.
Na sequência foram executadas as restaurações nos incisivos centrais e finalmente nos incisivos laterais, todas aplicando o mesmo procedimento aplicado nos caninos, porém para resina Charisma® Diamond – Kulzer de dentina foi aplicada a cor OM (opaco médio), diferentemente dos caninos.
Ao final da inserção de toda a resina composta, foram feitos ajustes oclusais em MIH (Máxima Intercuspidação Habitual), protrusiva e lateralidade direita e esquerda, eliminando qualquer interferência nesses movimentos e proporcionando maior conforto ao paciente, um acabamento inicial foi executado na mesma sessão restauradora.
Após 15 dias foi feito o acabamento e polimento final das restaurações com discos abrasivos e pasta para polimento.
Materiais Utilizados
• Charisma® Diamond
• GLUMA® Bond Universal
Autores
• Franceli TA
Graduanda de odontologia na Universidade Metodista de São Paulo – UMESP
• Lémos TF
Graduanda de odontologia na Universidade Metodista de São Paulo – UMESP
• Raposo CAM
Professores da graduação de Odontologia da Universidade Metodista de São Paulo – UMESP
• Sanches MJ
Professores da graduação de Odontologia da Universidade Metodista de São Paulo – UMESP
Universidade Metodista de São Paulo – Curso de Odontologia
UMESP – Campus Rudge Ramos – São Bernardo do Campo – SP
Fotos do caso


























Conclusão
A odontologia restauradora, além do aspecto estético engloba a saúde bucal e a qualidade de vida, estas intimamente relacionadas, uma vez que, oferecem ao indivíduo condições para desenvolver o máximo de suas potencialidades como viver, sentir, amar, trabalhar e produzir.
Desse modo, após o tratamento o paciente obteve melhora na qualidade de vida, no que tange a saúde oral e estética, proporcionando aumento da autoestima.
Referências
1. Neto, A – Qualidade de vida: compromisso histórico e epidemiologia. Saúde em Debate, 35:63-68, 2002.
2. Mondelli, J – Estética e cosmética em clínica integrada restauradora. São Paulo: Ed. Santos, 2003.
3. Francischone, A C – Prevalência das proporções áurea e estética dos dentes antêro-superiores e respectivos segmentos dentários relacionados com a largura do sorriso em indivíduos com oclusão normal, Dissertação (Mestrado) – Bauru, 2005.
4. Calixto LR, Anjos TLMR, Oliveira GJPL, Clavijo VGR, Fontanari LA, Andrade MF. Correção de Desnível de Margem Gengival: Interação Periodentística no Restabelecimento do Sorriso. International Journal of Brazilian Dentistry, Florianópolis, out./dez. 2010. v.6, n.4, p. 434-441.
