O crescimento do apelo estético nos últimos tempos transformou a rotina dos cirurgiões-dentistas, pois os pacientes cada vez mais exigem uma solução rápida e de alta qualidade aos seus problemas. Em vista deste fato e somado à introdução no mercado de materiais restauradores diretos de qualidade superior, tanto esteticamente quanto em resistência e durabilidade, as facetas diretas de resina composta tornaram-se uma opção válida que proporciona resultados extremamente satisfatórios em período de tempo mais curto quando comparado a outros procedimentos indiretos.
Contudo, o uso destes materiais diretos implica ao cirurgião-dentista o domínio de conceitos de proporcionalidade e dimensionamento, além de técnicas de escultura mais refinadas. Entretanto, em alguns casos isso não é o suficiente, exigindo que o cirurgião-dentista se adeque a cada caso, fazendo uso de saídas criativas na tentativa de obter o melhor resultado possível.
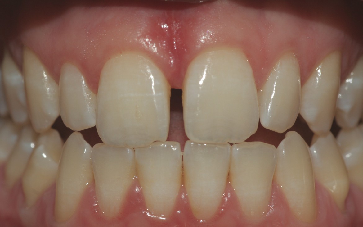
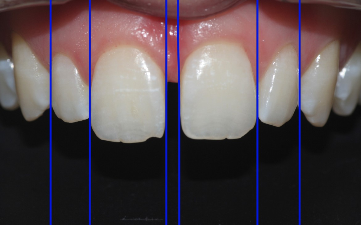
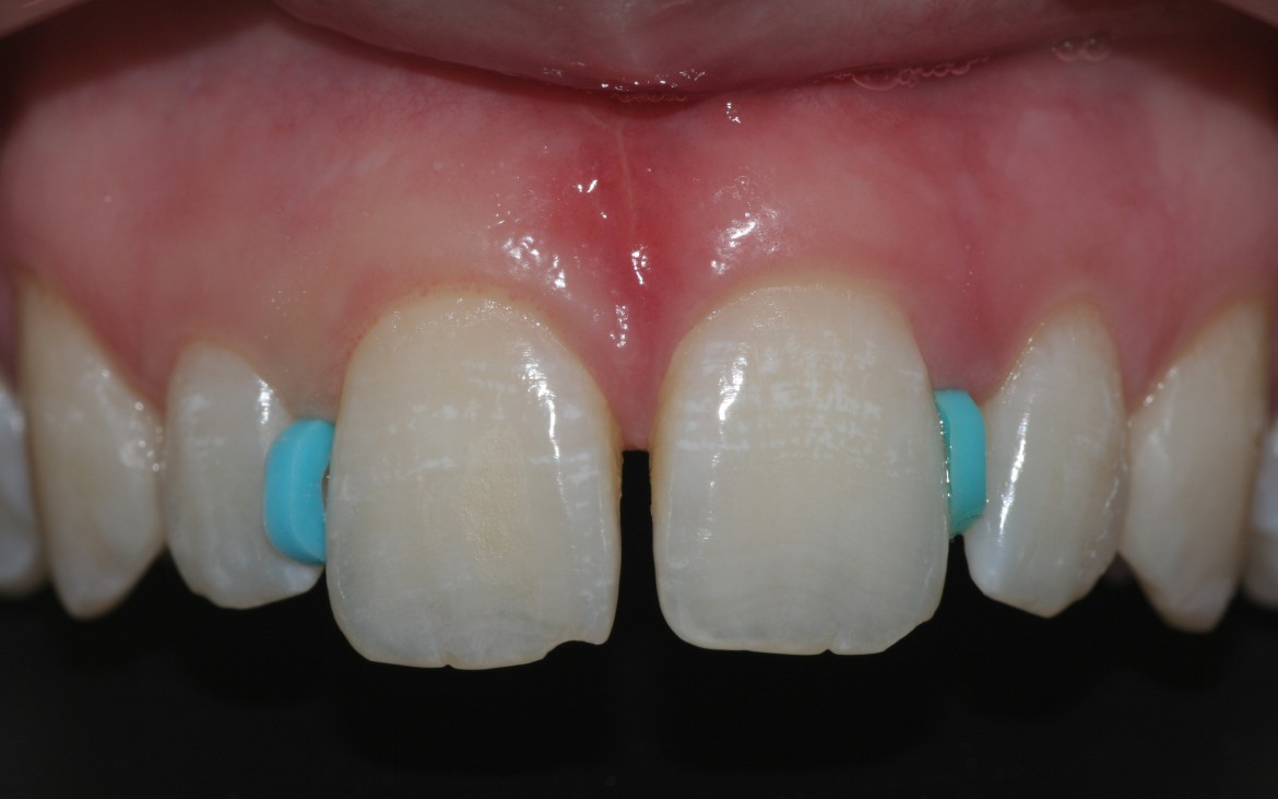
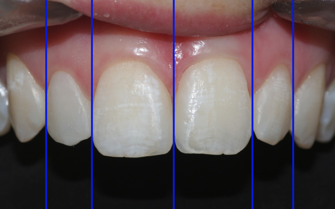
Dentre as opções existentes, o uso de anéis ortodônticos interproximais para melhorar a distribuição dos espaços disponíveis consiste em um artifício interessante a ser usado, tornando casos aparentemente impossíveis de serem resolvidos sem a associação com a ortodontia corretiva. Ademais, diante de inúmeras situações clínicas onde há necessidade de reanatomização dental, por causas diversas como: diastemas, incisivos conóides, mau posicionamento, inclinações, fraturas, entre outros, é de vital importância o restabelecimento da correta relação comprimento – largura, proporção e correto posicionamento da linha média superior, sendo estes princípios, preponderantes na harmonização do sorriso.
Portanto, o presente caso clínico tem por finalidade demonstrar como o emprego de movimentações dentais prévias ao tratamento restaurador através da aplicação de anéis ortodônticos interproximais, influenciam no resultado estético final. A utilização da resina composta Charisma Diamond (Heraeus-Kulzer) viabilizou a correta reprodução estética, onde destacamos a facilidade de manipulação e a perfeita interação óptica do material com as estruturas dentais.









Autores:
Letícia Aparecida Pereira*
Taís Aparecida do Nascimento*
Prof. Dr. André Marcelo Peruchi Minto **
* Alunas de graduação em Odontologia da Universidade de Franca
**Especialista em Dentística Restauradora – APCD Araraquara; Mestre em Dentística – UNESP – Araraquara; Doutor em Dentística – FOUSP – São Paulo; Atuação em Clínica Particular há 27 anos; Professor Responsável pelas Disciplinas de Dentística e Clínica Integrada da Universidade de Franca – UNIFRAN; Professor do Curso de “Especialização em Dentística” da FUNORP ( FORP-USP)
Gostei muito do caso, muito bem executado, estão de parabens. Chamo atenção para o lapso pois
o anel de borracha está entre os 12/11 e 21/22 e não entre 12/13 e 22/23 como se lê na primeira ilustração
Oi Paulo,
Realmente você está correto. Obrigado por nos sinalizar o engano, corrigimos a informação. Obrigado!
Gostei muito do caso, muito bem executado, estão de parabens. Chamo atenção para o lapso pois
o anel de borracha está entre os 12/11 e 21/22 e não entre 12/13 e 22/23 como se lê na primeira ilustração