Por Prof. Dr. Carlos Martins Agra, mestre e doutor em dentística restauradora pela FOUSP-SP, e Solange Dedonato, especialista em dentísica restauradora pelo Senac-SP.
As alterações de cor que os dentes podem apresentar variam quanto à etiologia, aparência, localização, severidade e adesão à estrutura dental. As alterações de cor são classificadas como extrínsecas, intrínsecas ou a combinação dos dois em função da localização e etiologia do manchamento. Nos dentes desvitalizados que apresentam alteração de cor há a presença de material cromogênico incorporado à estrutura da dentina a partir do interior da câmara pulpar.
A origem deste material pode estar associada à necrose ou hemorragia pulpar e restos de tecido pulpar e/ou materiais endodônticos. O emprego de agentes clareadores representa uma alternativa conservadora que reestabelece a estética dos dentes desvitalizados que apresentam alteração de cor. O princípio básico de ação dos clareadores é o de servirem como agentes oxidantes que modificam as moléculas orgânicas responsáveis pela alteração de cor. O clareador mais empregado é o peróxido de hidrogênio (H2O2).
A técnica convencional para o clareamento de dentes desvitalizados era conhecida como “Walking Bleach”. O procedimento envolvia o acesso e remoção dos materiais presentes na câmara pulpar, selamento da entrada dos condutos radiculares e colocação de uma pasta de perborato de sódio (na forma de pó) com peridrol (peróxido de hidrogênio líquido a 35%) ou água destilada.
A técnica envolvia o uso de calor para aumentar a efetividade do clareador (técnica termocatalítica) por 20 a 30 minutos. Após a aplicação do calor o material clareador era deixado por um período de 3 a 10 dias selado dentro da câmara pulpar. Este procedimento poderia ser repetido por 3 ou 4 vezes em função do resultado alcançado.
Na atualidade, a melhor compreensão sobre os riscos associados a esta técnica termocatalítica contra indica o uso de qualquer fonte de calor durante o clareamento.
Outra possibilidade para o clareamento dos dentes desvitalizados é a técnica “inside/outside bleaching”. Nesta técnica faz-se a abertura da câmara pulpar e o selamento do conduto radicular. Durante o tratamento o paciente permanece com a câmara pulpar aberta. Peróxido de carbamida a 10% é dispensado no interior de uma moldeira de acetato que é adaptada aos dentes. O clareador fica em contato com a superfície vestibular e também preenche a câmara pulpar.
O paciente segue o regime de tratamento da técnica para o clareamento caseiro de dentes vitalizados, e aplica o produto uma ou duas vezes ao dia durante um período necessário para que o resultado desejado seja observado. A técnica pode ser empregada apenas no dente desvitalizado ou pode ser associada ao clareamento externo dos demais dentes de forma concomitante.
As vantagens desta técnica residem no menor risco associado ao uso de um clareador de baixa concentração e à possibilidade de expor o dente a este agente por um período prolongado.
As desvantagens consistem na dificuldade de aplicação do produto dentro da câmara pulpar, no risco de que alimentos ou outros agentes fiquem retidos no interior da câmara pulpar sem que o paciente seja capaz de removê-los, na contaminação da dentina presente na câmara pulpar por bactérias e na fragilidade mecânica inerente ao fato de que o dente apresenta-se aberto.
A terceira alternativa para o clareamento de dentes desvitalizados e a mais utilizada atualmente é a técnica de clareamento em consultório que emprega um agente clareador com alta concentração de peróxido de hidrogênio.
Nesta técnica, a câmara pulpar é esvaziada, o dente é isolado (preferencialmente de modo absoluto), o material obturador é removido até 2 a 3mm apicais ao limite cervical da coroa anatômica e o conduto é selado.
O gel clareador com alta concentração de peróxido de hidrogênio (35-38%) é aplicado no interior da câmara pulpar e também na superfície externa do dente. O protocolo de uso do clareador é igual ao utilizado na técnica de clareamento em consultório para dentes vitalizados.
Comparada às duas outras técnicas – Walking Bleach e Inside/Outside – a técnica de clareamento em consultório viabiliza o uso de um clareador com maior concentração com uma maior segurança do que a existente na técnica Walking Bleach, em que o clareador com alta concentração é mantido por dias no interior da câmara pulpar. Comparada à técnica Inside/Outside, o clareamento em consultório também é vantajoso devido a menor possibilidade de contaminação bacteriana da dentina e/ou de fratura coronária.
Nas três técnicas descritas, o selamento do conduto deve ser realizado com um material que garanta que o agente clareador não comprometa a obturação do conduto radicular e não atinja por difusão o tecido periodontal da região cervical. Uma extensa revisão de literatura realizada por MacIsaac e Hoen10 relacionou todos os casos relatados de reabsorção radicular externa após clareamento à falha ou ausência deste selamento cervical.
Os materiais de eleição para o selamento são os cimentos de óxido de zinco com ou sem eugenol e o cimentos de ionômero de vidro. A desobturação do conduto deve avançar 2 a 3 mm após o limite cervical da coroa anatômica. O cimento é inserido com o auxílio de um condensador (cimentos a base de óxido de zinco) ou com o auxílio de uma seringa Injetora (cimentos ionoméricos). Após a presa ou geleificação do cimento, verifica-se com o auxílio de uma sonda periodontal se o mesmo preencheu
o espaço desobturado até o limite cervical.
O resultado adequado com as técnicas de clareamento é determinado pelo correto diagnóstico, seleção do material clareador, correta aplicação do produto e a compreensão sobre os aspectos biológicos resultantes da ação dos clareadores. Para os dentes desvitalizados sobressai como fundamental a preocupação com a proteção do periodonto que circunda a região cervical e com a observação de técnicas que sejam seguras e tragam o efeito que os pacientes almejam.
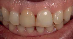
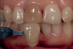
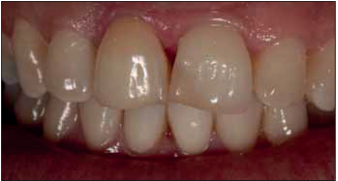
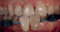
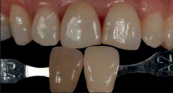
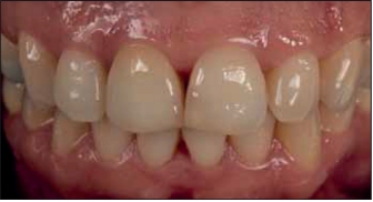
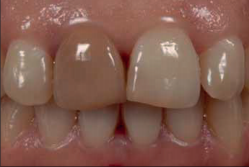
No caso clínico apresentado empregou-se o gel clareador Total Blanc Office H35, DFL, que apresenta concentração de 35% de peróxido de hidrogênio. Fez-se duas aplicações de 20 minutos do produto na superfície interna e externa da estrutura dentária em 2 sessões clínicas distintas. Este caso clínico foi realizado no curso de Especialização em Dentística Restauradora do SENAC-SP.
Sobre os autores
Professor Doutor Carlos Martins Agra
Mestre e doutor em dentística restauradora pela FOUSP-SP e coordenador do curso de especialização em dentística restauradora do Senac-SP. Contato: carlos.m.agra@gmail.com
Solange Dedonato
Especialista em dentística restauradora do Senac-SP
Referências
1. Plotino G, Buono L, Grande NM, Pameijer CH, Somma F. Nonvital tooth bleaching: a review of the literature and clinical procedures. Journal of endodontics. 2008 Apr;34(4):394-407. PubMed
PMID: 18358884.
2. Dahl JE, Pallesen U. Tooth bleaching–a critical review of the biological aspects. Critical reviews in oral biology and medicine : an official publication of the American Association of Oral
Biologists. 2003;14(4):292-304. PubMed PMID: 12907697.
3. Hattab FN, Qudeimat MA, al-Rimawi HS. Dental discoloration: an overview. Journal of esthetic dentistry. 1999;11(6):291-310. PubMed PMID: 10825865.
4. Ahmed HM, Abbott PV. Discolouration potential of endodontic procedures and materials: a review. International endodontic journal. 2012 Oct;45(10):883-97. PubMed PMID: 22621247.
5. Bizhang M, Heiden A, Blunck U, Zimmer S, Seemann R, Roulet JF. Intracoronal bleaching of discolored non-vital teeth. Operative dentistry. 2003 Jul-Aug;28(4):334-40. PubMed PMID:
12877416.
6. Dietschi D. Nonvital bleaching: general considerations and report of two failure cases. The European journal of esthetic dentistry : official journal of the European Academy of Esthetic
Dentistry. 2006 Apr;1(1):52-61. PubMed PMID: 19655475.
7. Baratieri LN, Ritter AV, Monteiro S, Jr., Caldeira de Andrada MA, Cardoso Vieira LC. Nonvital tooth bleaching: guidelines for the clinician. Quintessence international.
1995 Sep;26(9):597-608. PubMed PMID: 8602439.
8. Attin T, Paque F, Ajam F, Lennon AM. Review of the current status of tooth whitening with the walking bleach technique. International endodontic journal. 2003 May;36(5):313-29.
PubMed PMID: 12752645.
9. Frazier KB. Nightguard bleaching to lighten a restored, nonvital discolored tooth. Compendium of continuing education in dentistry. 1998 Aug;19(8):810-3. PubMed PMID: 9918104.
10. MacIsaac AM, Hoen CM. Intracoronal bleaching: concerns and considerations. Journal. 1994 Jan;60(1):57-64. PubMed PMID: 8293361.
11. Carrillo A, Arredondo Trevino MV, Haywood VB. Simultaneous bleaching of vital teeth and an open-chamber nonvital tooth with 10% carbamide peroxide. Quintessence international. 1998
Oct;29(10):643-8. PubMed PMID: 9922762.
12. Liebenberg WH. Intracoronal lightening of discolored pulpless teeth: a modified walking bleach technique. Quintessence international. 1997 Dec;28(12):771-7. PubMed PMID: 9477868.
13. Settembrini L, Gultz J, Kaim J, Scherer W. A technique for bleaching nonvital teeth: inside/outside bleaching. Journal of the American Dental Association. 1997 Sep;128(9):1283-4.
PubMed PMID: 9297951.
14. Rotstein I, Zyskind D, Lewinstein I, Bamberger N. Effect of different protective base materials on hydrogen peroxide leakage during intracoronal bleaching in vitro. Journal of endodontics.
1992 Mar;18(3): 114-7. PubMed PMID: 19186431.















