Autor: Orlando Reginatto
AVALIAÇÃO INICIAL
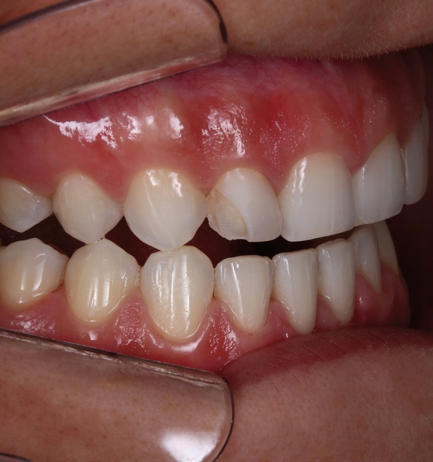
Dentes sem alterações estruturais e/ou patologias, com desproporção tamanho. A paciente apresentava restaurações nos elementos 12 e 22, sendo que o 12 com fratura vestibular.
TRATAMENTO EXECUTADO
Baseando-se nos achados clínicos e nas fotos do sorriso e em repouso, notou-se que ao sorrir ocorria ampla exposição gengival. Para cumprir com as expectativas e alcançar melhor harmonização do sorriso, foi realizada gengivoplastia dos elementos 11 e 21 para aumentar a relação entre altura e largura destes sem ter aumento incisal excessivo. Não foi necessária osteoplastia, pois a profundidade de sondagem era maior que 3mm.
Após a cicatrização, removeu-se parte da restauração dos dentes 12 e 22 na face vestibular para promover contato do gel com a estrutura dental e se prosseguiu o tratamento clareador com White Class 4% (FGM), durante 30 dias.
A troca das restaurações foi indicada e o material de escolha foi a resina submicrométrica Vittra APS (FGM), que tem ótimas propriedades ópticas e mecânicas para a reprodução de características dentais naturais. Optou-se pelo recobrimento vestibular total através de um recontorno cosmético em resina, proporcionando um brilho natural.
PASSO A PASSO



Fig. 2 – Registro de cor prévio ao tratamento clareador.
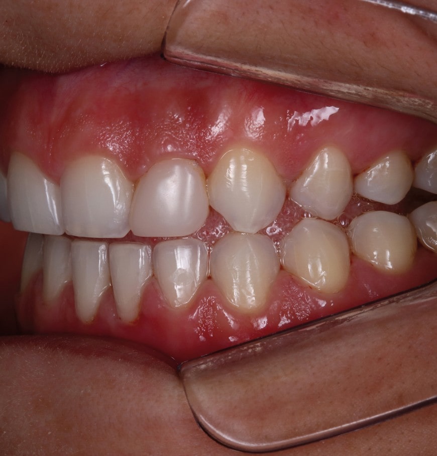
Fig. 3 – Aspecto imediato após procedimento de gengivoplastia.
DICA CLÍNICA:
A versatilidade de concentrações do White Class (FGM) proporciona total controle da sensibilidade pós-operatória.
Fig. 4 – Aspecto após 30 dias de tratamento clareador com White Class 4% (FGM) e remoção das restaurações insatisfatórias com lâmina 12 e brocas multilaminadas
Fig. 5a – Após correto isolamento, condicionamento ácido por 30 segundos com Condac 37 (FGM), lavagem e secagem.
Fig. 5b – Aplicação do sistema adesivo Ambar APS (FGM).
Fig. 6 – Reprodução da face palatina com resina Vittra APS (FGM) na cor Trans OPL.
Fig. 8 – Reprodução dos mamelos dentinários com resina DA0 em incisivos centrais.
Fig. 9 – Dente 11: aplicação da camada vestibular incisal na cor Trans OPL com auxílio de um pincel.
Fig. 10 – Dente 11 com cobertura final com Vittra APS (FGM) na cor de esmalte E-Bleach.
Fig. 11 – Vista incisal: comparação entre dente 11 já com cobertura final com resina E-Bleach e dente 21 ainda por finalizar o incremento.
Fig. 12 – Dentes 11 e 21 com estratificação finalizada. Confecção da concha incisal dos incisivos laterais.
Fig. 13 – Reprodução dentinária com resina DA0 (Vittra APS – FGM) em incisivos laterais.
Fig. 14 – Camada final com esmalte E-Bleach (Vittra APS – FGM) em incisivos laterais.
Fig. 15 – Delimitação das áreas de espelho. Fig. 16a e 16b – Acabamento com brocas multilaminadas.
Fig. 17 – Polimento com pasta Diamond Excel (FGM) e discos de feltro Diamond Flex (FGM).
Fig. 18 – Aspecto logo após o polimento.
Fig. 19 – Aspecto final lateral. Fig. 20 – Aspecto final com destaque para a translucidez e opalescência incisal.


















