17 de dezembro de 2024
Como fazer clareamento com peróxido de hidrogênio a 37,5%
Este procedimento odontológico deve ser feito exclusivamente por profissionais da área da odontologia e, preferencialmente, com o produto…
17 de dezembro de 2024
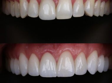
Qual a diferença entre lentes de resina e porcelana? Confira
Ter dentes brancos, alinhados e simétricos é o desejo de muitos pacientes que buscam melhorar a estética do…
Biodente agora é Surya Dental: o futuro da odontologia começa aqui!
A Surya Dental, com seus 31 anos de história, construiu uma reputação sólida no mercado odontológico, sendo referência…
28 de novembro de 2024
Skinbooster e Preenchimento Facial: saiba a diferença entre os procedimentos
Os procedimentos Skinbooster e Preenchimento Facial estão cada vez mais em alta devido ao aumento da demanda por…
25 de novembro de 2024
Anestesia sem dor: técnicas para aplicar no seu consultório
A aplicação de anestesia odontológica é, para muitos pacientes, um dos momentos mais temidos da consulta. Uma pesquisa…
25 de novembro de 2024
Gengivoplastia: indicações, como é feito e mais!
Nem sempre os problemas bucais estão relacionados aos dentes. A saúde bucal envolve um equilíbrio delicado entre dentes,…
25 de novembro de 2024
Cirurgia ortognática: o que é, qual sua função e mais!
A cirurgia ortognática é um procedimento de alta complexidade no campo da odontologia e da cirurgia buco-maxilofacial, projetado…
25 de novembro de 2024
Bioestimulador de Colágeno: o que é, benefícios e mais!
A busca por uma aparência mais jovem e harmônica é um desejo comum, especialmente para quem sente que…
25 de novembro de 2024
Anamnese odontológica: quais perguntas fazer aos pacientes?
O primeiro encontro entre o cirurgião-dentista e o paciente carrega consigo uma importância singular, sendo muito mais do…
25 de novembro de 2024
Guia do isolamento absoluto: confira dicas de como fazer
Alcançar resultados de alta qualidade em cada procedimento é um objetivo fundamental para qualquer cirurgião-dentista. Entre as práticas…